Recanalização retrógrada da artéria Fibular para tratar isquemia do pé
Paciente com diabetes tipo II e necrose isquêmica no segundo dedo do pé direito. Submetida a angiografia que evidenciou oclusão completa das artérias Tibiais e oclusão do Tronco Tíbio-fibular e segmento proximal da Fibular conforme as imagens abaixo.


Realizamos tentativa, sem sucesso, de recanalização do Tronco e da Fibular por via convencional (anterógrada).
Assim, planejamos nova abordagem por via retrógrada puncionando diretamente a artéria Fibular no terço distal com a paciente em decúbito dorsal. Tal punção foi realizada utilizando-se somente a agulha metálica do Jelco 18F.
Após a punção um guia 014 300 cm foi introduzido e tentou-se vencer a obstrução do sentido distal para o proximal (retrógrado). Esta manobra também foi infrutífera devido ao alto grau de calcificação arterial. Um balão de angioplastia foi então introduzido para dar suporte ao guia e desta vez consegui-se ultrapassar o segmento ocluído conforme evidenciado na foto abaixo.
Após ultrapassar a oclusão, o guia foi capturado por alça de captura inserida pela introdutor 5F implantado na Femoral direita e assim exteriorizado através deste.
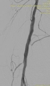
Um longo balão 2×150 mm de angioplastia foi introduzido pelo introdutor 5F agora passando a lesão por via anterógrada. O guia foi mantido também exteriorizado na perna servindo assim como “varal” para dar mais apoio na ultrapassagem da lesão. Após o correto posicionamento do balão, a angioplastia foi realizada com sucesso conforme evidenciado nas imagens abaixo.
Nesta última imagem, observa-se o fluxo pela Fibular opacificando parcialmente o Arco Plantar via ramos tarsais. Note-se que o extenso grau da doença aterosclerótica obstrutiva ainda impede a opacificação das artérias do ante-pé. Apesar destes achado angiográficos a paciente referiu significativo alívio da sintomatologia dolorosa.
Recanalização retrógrada da artéria Fibular para tratar isquemia do pé






