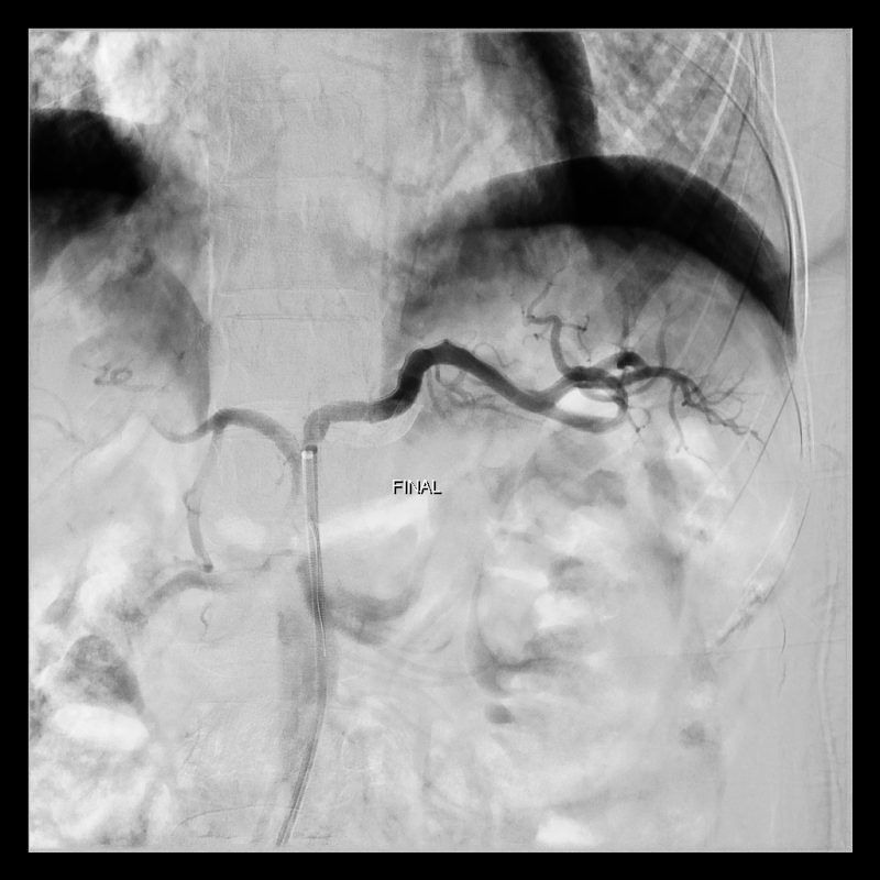
Tratamento de aneurisma da artéria Esplênica por implante de Stent revestido.
Aneurismas da artéria esplênica (artéria que nutre o baço) acomete mais mulheres multíparas (que tiveram muitas gestações). Neste vídeo demonstramos o tratamento dum aneurisma da artéria esplênica por via endovascular (através de cateterismo da artéria Femoral).
