Aneurisma Sacular Esplênico Tratado com Micromolas
Aneurisma Sacular Esplênico tratado com micromolas
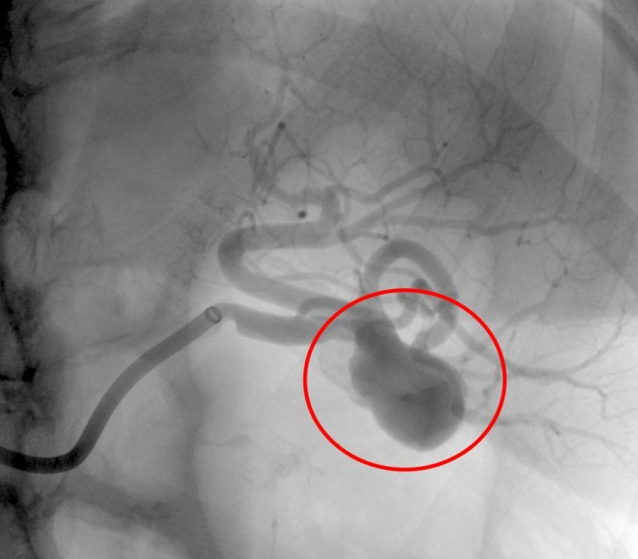
Apresento um caso de embolização de um aneurisma sacular de artéria esplênica.
Optou-se pelo emprego de molas em detrimento de stent revestido (stent graft) devido a presença de um colo relativamente estreito e à localização do aneurisma ser no terço distal da artéria esplênica havendo bifurcação da mesma logo após ao aneurisma, o que levaria à provável perda de um dos ramos distais.
O procedimento foi realizado via Femoral direita utilizando-se cateteres Neuromax 6F 80cm, Neuron Select H1 5F Penumbra, IM 5F, microcateter Headway 1.7 Microvention, micro guia 014 Traxcess Microvention, micro molas Cosmo Microvention tamanhos 18×59; 14×51; 13×47; 11×39; 10×36, e micromola Helical Microvention 16×30 com sistema de liberação de molas V-Grip.
As angiografias de controle evidenciaram completa exclusão do aneurisma esplênico com manutenção integral da irrigação do baço.
Os controles com eco-Doppler em 30 dias e seis meses mostram a manutenção da exclusão do aneurisma e a manutenção do fluxo distal na artéria esplênica.
