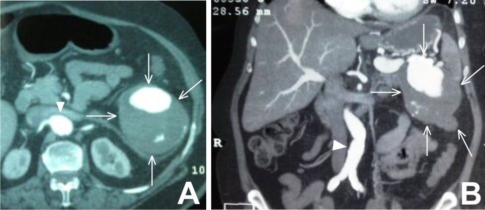
Excelente artigo publicado em abril de 2016 abordando aneurismas viscerais.
Os autores fazem uma revisão sobre o assunto e diagnóstico e dão seis dicas de abordagens terapêuticas.
Leia o artigo na íntegra no link: Visceral Artery Aneurysms
Inicio » Notícias e Sugestões de Leitura » Aneurismas de artérias viscerais – Seis dicas de abordagens e tratamentos.
Excelente artigo publicado em abril de 2016 abordando aneurismas viscerais.
Os autores fazem uma revisão sobre o assunto e diagnóstico e dão seis dicas de abordagens terapêuticas.
Leia o artigo na íntegra no link: Visceral Artery Aneurysms